Servicios

Radiografía digital dental en Santiago de Compostela
SERVICIOS

Radiología Digital

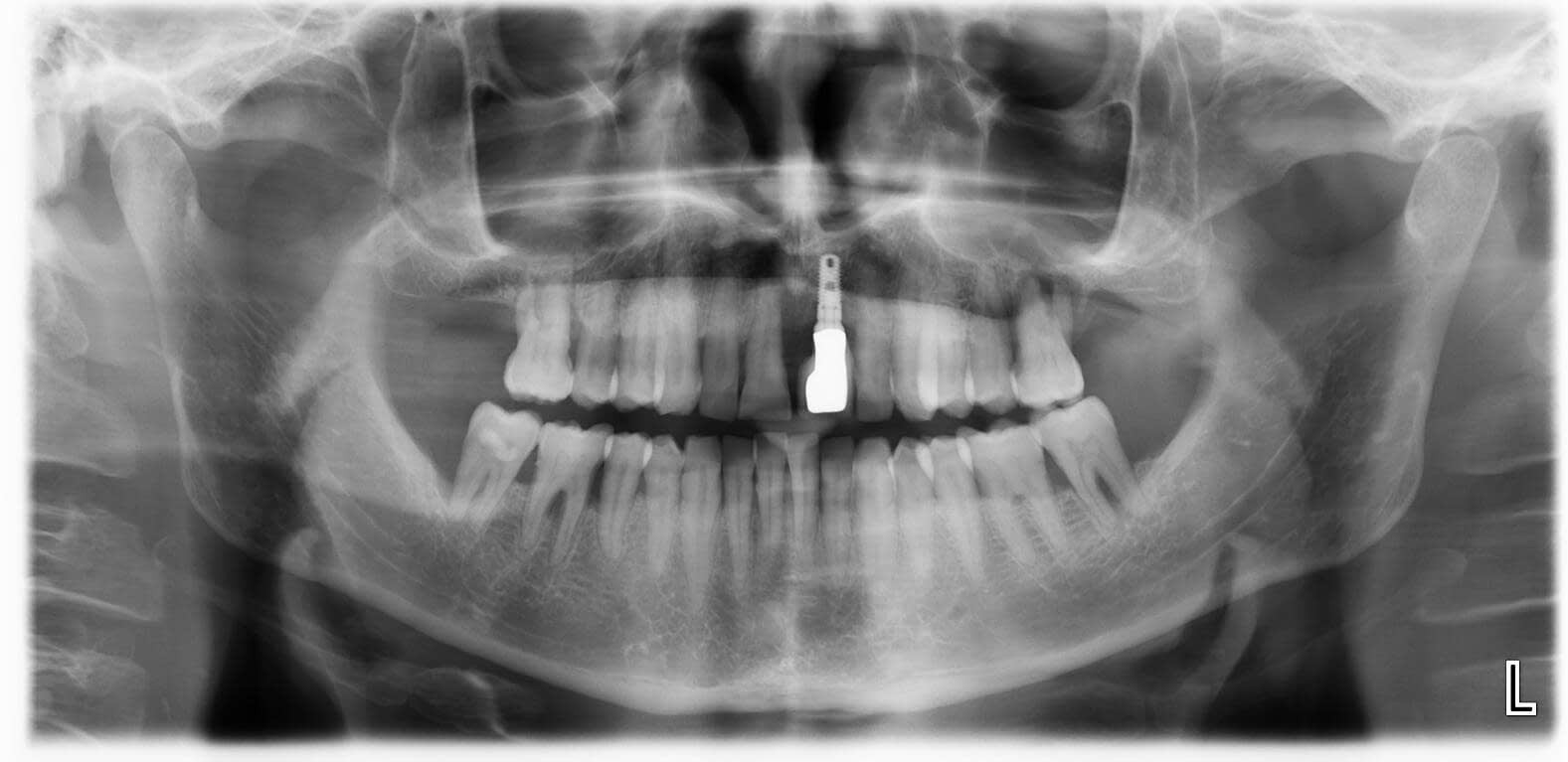
El radiodiagnóstico es una herramienta de vital importancia en el día a día de una clínica dental, ya que a través de ella podemos obtener una imagen certera y pormenorizada de la zona maxilofacial del paciente.

Gracias a esta tecnología, podemos valorar con precisión el estado de la boca y detectar con mayor claridad diferentes situaciones clínicas, como piezas afectadas, procesos infecciosos o tratamientos previos que requieren seguimiento.

Con una visión clara conseguiremos un diagnóstico preciso.
SERVICIOS

Financiación

Nos tomamos muy en serio la salud bucodental de nuestros pacientes. Por ello, el aspecto económico no puede ser un obstáculo que impida la aplicación de los tratamientos que necesites.

En nuestra clínica disponemos de un Servicio de Financiación a medida que se ajusta a las necesidades de cada paciente, para que puedas acceder al tratamiento indicado con mayor comodidad y tranquilidad.

Financiación adaptada a cada caso para que el tratamiento que necesitas no tenga que esperar.
Financiación de tratamientos dentales en Santiago de Compostela
Sedación consciente en Clínica Dental Gonzalo Calzadilla
SERVICIOS

Sedación consciente

Con nuestra sedación consciente, transformamos la ansiedad en serenidad, asegurando que cada visita a Clínica Dental Gonzalo Calzadilla sea una experiencia de relajación absoluta.

En Clínica Dental Gonzalo Calzadilla, entendemos que la ansiedad dental puede ser un desafío. Por eso, ofrecemos el servicio de sedación consciente, bajo la supervisión del Dr. Calzadilla, para asegurar que cada visita sea una experiencia tranquila.

Nuestro enfoque cuidadoso y personalizado garantiza que te sientas cómodo y relajado durante todo el tratamiento.

Descubre la tranquilidad con nuestra sedación consciente, donde tu bienestar es nuestra prioridad.
Scroll to Top